Zmiany w budowie czaszek naszych przodków świadczą o obniżaniu się w ich organizmach poziomu testosteronu. Zmiany te zachodziły 50 tys. lat temu – mniej więcej wtedy, gdy zaczęła rozkwitać kultura – piszą naukowcy w sierpniowym numerze „Current Anthropology”.
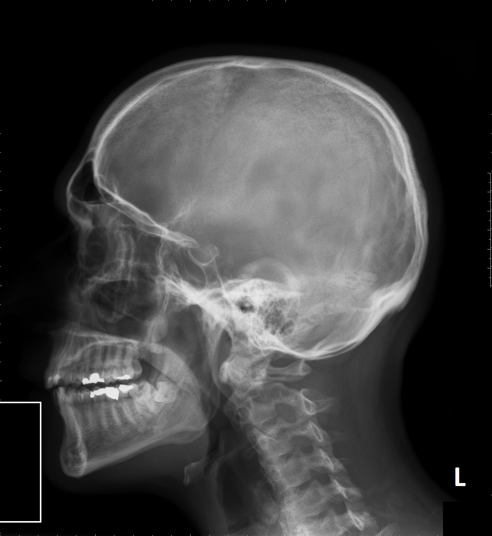
Badania ponad 1400 ludzkich czaszek (ludzi współczesnych żyjących w XX w. i reprezentujących różne grupy etniczne, a także skamieniałych czaszek sprzed ponad 80 tys. lat i w wieku od 10-38 tys. lat) przeprowadził Robert Cieri z University of Utah. Porównując łuki brwiowe, kształt twarzy i pojemność czaszek doszedł do wniosku, że z biegiem czasu ich budowa wyraźnie się zmieniała. Malał łuk brwiowy, a górna część twarzy stopniowo się skracała, dzięki czemu u naszych przodków stopniowo zanikły wydatne brwi, a kontur twarzy złagodniał.
Zmiany te odzwierciedlają coraz słabszy wpływ testosteronu na kościec – tłumaczy Cieri.
I zauważa, że choć szczątki ludzi współczesnych (anatomicznie identycznych jak my) zaczynają się pojawiać wśród skamieniałości już ok. 200 tys. lat temu, to jednak dopiero ok. 50 tys. lat temu doszło do rewolucji kulturowej, i nasi przodkowie na dużą skalę zajęli się sztuką (tworzyli rysunki naskalne, kościane figurki czy proste instrumenty) i zaczęli wytwarzać wyrafinowane narzędzia.
To, dlaczego po 150 tysiącach lat istnienia ludzie współcześni uczynili taki technologiczny skok, próbuje tłumaczyć kilka teorii. Naukowcy nie są jednak zgodni, czy postęp mógł się dokonać dzięki jakiejś mutacji w obrębie genów ważnych dla pracy mózgu, przestawieniu się na ciepły pokarm, pojawieniu się języka i większej możliwości komunikacji czy może coraz większego zagęszczenia populacji.
Różne przesłanki pozwalają jednak z dużym prawdopodobieństwem przyjąć, że dawne społeczeństwa dokonały postępu wtedy, kiedy ludzie stali się bardziej przyjaźni. Było to możliwe pod warunkiem, że na działania naszych przodków coraz słabiej wpływał testosteron. „Zachowania ludzi współczesnych związane z innowacjami technologicznymi, sztuką i powszechną możliwością wymiany osiągnięć pojawiły się prawdopodobnie w tym samym czasie, kiedy rozwinął się temperament skłaniający do współpracy” – mówi Cieri, cytowany na stronie Duke University, swojej wcześniejszej uczelni.
Badanie naukowców z Duke potwierdza, że życie w grupie i konieczność współpracy były czynnikami, które faworyzowały ugodowość i obniżały agresję. To z kolei sprzyjało zmianom kształtu twarzy oraz intensywnej wymianie myśli i rozwiązań pomiędzy ludźmi i całymi ich grupami. „Jeśli prehistoryczni ludzie zaczęli żyć ze sobą bliżej i przekazywać sobie nowe umiejętności i znajomość technologii, to znaczy, że musieli się też coraz lepiej tolerować” – tłumaczy Cieri.
Nowe wnioski znajdują potwierdzenie w obserwacjach innych gatunków – zauważają inni autorzy badania z Duke University, Brian Hare i Jingzhi Tan, przypominając badania srebrnych lisów. W ich trakcie wykazano, że u hodowanych selektywnie lisów (w hodowli, w której preferowano osobniki mało nieufne i mało agresywne wobec ludzi), zmienia się wygląd i zachowanie. Kolejne pokolenia tych zwierząt zaczynają coraz bardziej przypominać osobniki młode.
„Gdybyśmy dostrzegli proces, który prowadzi do tych zmian u innych zwierząt, pomogłoby to wyjaśnić, kim dziś jesteśmy i jak do tego doszło” – mówi Hare, badający również różnice pomiędzy blisko spokrewnionymi małpami – agresywnymi szympansami i przyjaznymi bonobo.
Te dwa gatunki małp inaczej się rozwijają – zauważa Hare. Odmiennie też reagują później na stres związany z przebywaniem w grupie. U samców szympansów podczas dojrzewania silnie wzrasta poziom testosteronu; u bonobo nie. Również później, pod wpływem stresu, szympansy zwiększają produkcję testosteronu. U bonobo zwiększa się za to stężenie kortyzolu, hormonu stresu. W efekcie relacje społeczne u obu gatunków małp bardzo się różnią. Co więcej, różne są też ich pyski. „U bonobo trudno o wydatny łuk brwiowy” – zauważa Hare.
PAP – Nauka w Polsce



